
Smile Gallery
Our relaxed and friendly professional environment will help improve your first visit and overall dental experience. We look forward to helping you achieve the smile you desire.
Jump to section
Crown and Bridges
Implants
If you’re ready to take the next step towards a healthier, happier smile, book your appointment with us today.
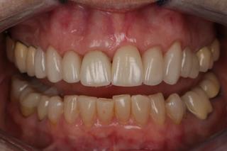
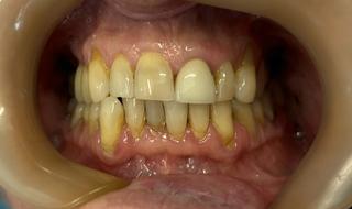
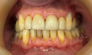
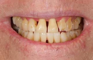
Crown and Bridges
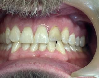
Before
After


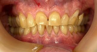
Before
After


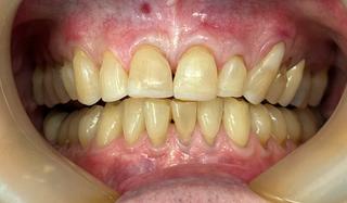
Before
After


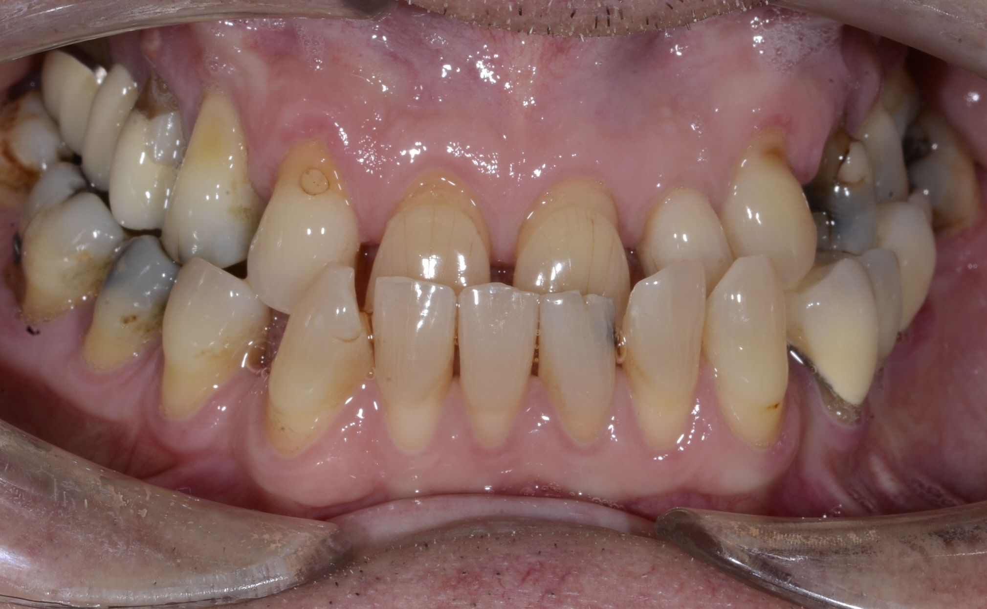
Before
After
.jpg?rect=0,2,2019,1243&w=320&h=197&auto=format)
.jpg?w=320&h=240&auto=format)
Before
After


Before
After


Before
After


Before
After


Implants
Before
After


View all services

Teeth Whitening

Invisalign®

Gum Reshaping and Contouring

Dental Crowns

Veneers

Dental Implants

All-On-4® Dental Implants

Dental Bridge
Results may vary in individual cases. The photo(s) used are stock photos of people who are not patients of Kissing Point Rd Dental Group, employees or affiliates.

