Dental Implants
Implants today can provide solutions to problems that in days gone by were unsalvageable. Many people with missing teeth were faced with no alternative to removable full or partial dentures. In instances of single missing teeth, people have had no choice but to bridge the space [fixed option] or wear a removable denture. Now with implant dentistry being widely practiced in mainstream dentistry we have elegant solutions to overcome these problems.
What is a dental implant?
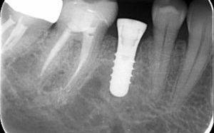
A dental implant is an artificial replacement for a missing tooth root. The implant fixture [fabricated out of titanium] is placed surgically into the bone and allowed to heal and integrate. Because the implant surface is not recognized by the body as being a foreign object the bone heals around the fixture. This relationship then allows the restoring dentist to place crowns or bridgework or dentures on top of this artificial root.
Benefits:
- Improved appearance
- Improved comfort and speech
- Ability to eat whatever you want
- Smile with confidence
- Maintain healthy adjacent teeth
- Long term results
- Maintenance of bone


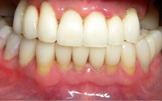
Single Tooth Missing
Implants today can provide solutions to problems that in days gone by were unsalvageable. Many people with missing teeth were faced with no alternative to removable full or partial dentures. In instances of single missing teeth, people have had no choice but to bridge the space [fixed option] or wear a removable denture. Now with implant dentistry being widely practiced in mainstream dentistry we have elegant solutions to overcome these problems.

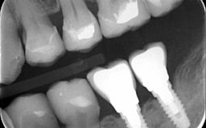
Multiple Teeth Missing
For a long time, removable partial dentures or fixed bridges were the only option to replace multiple missing teeth. Implants are the closest permanent tooth like treatment we have to replace multiple teeth.

If the adjacent teeth to the space are unrestored, healthy teeth, two implants can be placed next to one another to close the space. Alternatively, multiple implants can be used like a traditional bridge to replace more than two teeth.

Frequently asked questions
The first step is finding out if you are a good candidate for implant placement. The Doctors need to make sure you have enough bone to hold an implant in place.
We would send you for an evaluation with our periodontist, at that time he would examine you and possibly sends you for a scan to check your bone levels.
About implant dentistry
Most cases it is a single surgical procedure where the periodontist will place the implant in your jawbone and a healing cap above the gum line. After 3 month the periodontist will review the implant for the final stage of treatment. There are some circumstances where the implant will stay under the gum for 3-6 month while it hardens in the bone.
The next step is for the periodontist to uncover the implant from the gum and put a neck on the implant. You will then come back to Kissing Point Dental to have a crown attach to the implant.
Most cases it is a single surgical procedure where the periodontist will place the implant in your jawbone and a healing cap above the gum line. After 3 month the periodontist will review the implant for the final stage of treatment. There are some circumstances where the implant will stay under the gum for 3-6 month while it hardens in the bone.
The next step is for the periodontist to uncover the implant from the gum and put a neck on the implant. You will then come back to Kissing Point Dental to have a crown attach to the implant.
Results may vary in individual cases. The photo(s) used are stock photos of people who are not patients of Kissing Point Rd Dental Group, employees or affiliates.


